ほくろについて
皆様こんにちは。
肌の青空クリニック院長の山内輝夫です。
本日はほくろについてお話ししたいと思います。
ほくろの原因
一般的にほくろとは、皮膚にできる小さな黒い斑点の事を指します。医学的には色素性母斑と言われるものですが、一体何者なのでしょうか。
実は色素性母斑は母斑細胞という細胞からできているのですが、この母斑細胞が不思議な細胞でして、ざっくり言うと色素細胞というシミの色素(メラニン色素)を作る細胞と神経細胞(Schwann細胞という神経細胞の維持に必要な栄養など作る細胞)のあいのこです。どちらにもなれなかった中途半端な存在と言ってもいいでしょうか。なぜこのような母斑細胞ができるのかは未だによくわかっておらず、色々な説があります。
色素性母斑もほとんどの方にできているにも関わらず謎が多く、特徴として判明していることは以下の通りです。
- 30代で1人平均9.6個。
- 小児期に徐々に増え、思春期に急増、壮年期にも増加するが、その後は減少。
- アジア人は白人よりも色素性母斑の数は少ない。
- 白人は日光が当たりやすい部位で増加する傾向にある。
- 性別で個数は変わらない。
- Clark型(後ほど解説致します)の色素性母斑は家族内発症例があり、遺伝の可能性が指摘されている。
- 妊娠時に色素性母斑が大きくなることがあり、母斑細胞がエストロゲンとプロゲステロンという女性ホルモンに対する受容体を持っている可能性が指摘されている。
などがあげられます。私の臨床経験でも、日光を浴びたらほくろが大きくなった気がする、と仰る方はたまにいらっしゃる印象ではあります。
ほくろの種類
Clark型の色素性母斑
さて、また上記で登場したClark型の色素性母斑とはなんでしょうか。
ほくろには臨床型というものがありまして、主にClark型、Miescher型、Unna型の3つに分類されます(またSpitzというものがありますが、かなり特殊なものなので今回は割愛致します)。
Clark型は、平坦な黒~褐色斑で体や四肢にできていることが多い色素性母斑で、最もポピュラーなものです(大体の方にできていらっしゃるのではないでしょうか)。こちらの色素性母斑は比較的皮膚の浅い部分に生じます。レーザーなどで取りやすい一方、取り残した場合は再発スピードが早い印象です。

Miescher型の色素性母斑
次にMiescher型ですが、これは丸く膨れているような色素性母斑です。色味は黒~褐色調ですが、段々と色味がなくなってきて皮膚と同じ色をしているものもしばしばみられます。また、中央に毛が生えているものなどもあります。鼻などの顔面にみられやすいタイプで、こちらは比較的皮膚の深い部分に存在しています。レーザーだと取り切れない場合があるため、切除などを検討される場合もあります。

Unna型の色素性母斑
最後にUnna型です。こちらは大体が黒色調をしており、Miescher型と同様に膨れておりますが、表面がもこもこしていて少し柔らかいのが特徴です(桑の実のような形です)。顔面ではあまりみられず、体幹などが多い印象です。深さは皮膚の深いところ(真皮内)に存在してはおりますが、見た目の特徴とは裏腹にそこまで深すぎないことが多いです。一部分だけ毛穴に沿ってかなり深いところまで入り込んでおりますが、それ以外の大部分はレーザーで取り切ることが可能な深さなことが多いです。


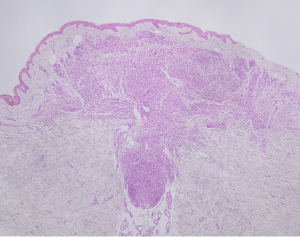
ちなみに深さのことを少しお話しすると、色素性母斑に限らずシミなどの色素性病変全体に通じて言えることですが、浅い病変は茶色、浅いところから深いところにかけての病変は黒色、かなり深いところにのみ存在する病変は青色になります。赤ちゃんのお尻などにみられる蒙古斑は、意外と深いところの病変なんです。また、色素性母斑の細胞は病変が深くなるにつれて細胞が小型化する不思議な特徴があります(これを病理組織学的にはmaturationと言います)。
青色母斑とは
深さのお話をしたついでに、少し番外編の青色母斑のお話もしておきましょう。青色母斑は色素性母斑と同じほくろとして認識している方がほとんどかと思います。しかしよく見ると、色素性母斑よりもその名の通り青みがかかっており、病変が深いことがわかります。こちらの青色母斑、実は色素性母斑とは異なる細胞からできている全く別のできものなんです。本来は比較的浅いところ(表皮の基底層という部分)に位置するメラノサイトが皮膚の深いところ(真皮)に存在し、そこで腫瘍性に増殖しているものなのです(悪性などではありません)。メラノサイトと神経細胞のあいのこではなく、メラノサイトそのもので、どちらかと言えば先程お話しした蒙古斑の方が性質は近いものになります。ほくろも色々あって難しいですね・・・。
ほくろの適切な治療法
話が少し逸れてしまいましたが、治療についてのお話しもしておきましょう。治療はメスを使用した切開の他、CO2レーザーや電気メスによる焼灼が一般的です。整容的なところが気になる方はレーザーや電気メスがよいのかと思います。ただし、治療の特性上、あまり深いところまで削ってしまうとそのまま凹んで治ってしまうリスクがあるため、深めの色素性母斑は1回では全て除去しきれないものとご認識いただけるとよいかと思います。また、切開と違い病理の検査(細胞を調べてどんな疾患か、悪性ではないか、などを調べます)に提出できないため、何か普通のほくろと違う気がする・・・なんて病変はあまり安易なレーザー治療での除去はお勧めいたしません。我々はダーモスコピーという強力虫メガネのようなものを使用して、しっかりと診断していますのでご安心下さいね。
本日はこれくらいにしておきましょう。またほくろについて機会があれば解説していきます。
最後までお読みいただきましてありがとうございました。
